Introducción
Los fitopatógenos como Fusarium spp. son los causantes principales de la marchitez de las plantas e inducen la pudrición de la raíz, clorosis y defoliación (Vásquez-López et al., 2009, Villanueva-Arce et al., 2013). Para controlar estos patógenos se aplican con mayor recurrencia fungicidas, organosintéticos que con el tiempo, además de contaminar el ambiente y afectar la salud humana, seleccionan cepas fúngicas resistentes, y su efectividad se reduce (Novaes et al., 2005; Rubio-Reque et al., 2008). En la rizosfera existen bacterias antagonistas, capaces de ejercer control de patógenos (GuillénCruz et al., 2006). Este antagonismo se atribuye, en parte, a la producción de una gama de metabolitos secundarios como bacteriocinas, antibióticos, enzimas extracelulares (Mojica-Marín et al., 2009), y lipopéptidos (iturina, surfactina, fengicina y bacilomicina) (Ramarathnam et al., 2007; Mora et al., 2011; Berić et al., 2012). Las especies de Bacillus y Paenibacillus son un potencial para detectar metabolitos para controlar fitopatógenos, comunes y con resistencia a fungicidas químicos, ya que producen estos polipéptidos (Cochrane y Vederas, 2014). La aplicaciones de Bacillus subtilis que liberan péptidos, inhiben el crecimiento del micelio de Fusarium oxysporum y F. solani (Radzhabov y Davranov, 2010). Extractos de lipopéptidos de B. subtilis y B. amyloliquefaciens mostraron actividad antifúngica contra F. moniliforme, con modificaciones en la pared celular de la hifas con hinchazón y protuberancias esféricas. Esos extractos contenían compuestos relacionados con iturina y fengicina. La protección puede funcionar por la secreción de lipopéptidos por las rizobacterias, ya que inhiben a los patógenos; además, otros mecanismos pueden actuar, como la inducción de genes relacionados con la patogénesis de plantas hospederas, ya que el extracto lipopéptido por si solo no aumenta la expresión de los genes (Gond et al, 2015). En este estudio se estimó la efectividad antagónica de aislados de la clase Bacilli contra dos especies de Fusarium, causantes de marchitez en chile habanero (Capsicum chinense Jacq.), mediante confrontaciones directas e inhibición de la germinación de conidios por filtrados bacterianos. También, se analizó la actividad de genes se analizó, asociados con la biosíntesis de lipopéptidos involucrados con la actividad antifúngica. La hipótesis fue que una cepa de Bacillus spp. tiene actividad inhibitoria frente a F. equiseti y F. solani y tiene al menos un gen de la síntesis de lipopéptidos.
Materiales y Métodos
Microorganismos utilizados
Las cepas del estudio fueron 16, de la Clase Bacilli, con reporte de actividad antifúngica, aisladas previamente de muestras de suelo de la península de Yucatán, México (Sosa et al., 2012), que pertenecen a la colección del Instituto Tecnológico de Conkal, Yucatán. Las bacterias se activaron en agar nutritivo (AN) (BD Bioxon®, Becton Dickinson de México), se verificó su pureza mediante el crecimiento de colonias homogéneas, la presencia de células Gram positivas y la formación de endosporas. Todas las cepas se cultivaron en el mismo medio hasta su autólisis a 28 °C por 4 d y se conservaron a 4 °C hasta su uso.
Aislamiento e identificación de Fusarium spp.
Muestras de tallos y raíces se recolectaron de plantas de chile habanero, con síntomas característicos de la enfermedad, en campo e invernadero (21° 04’ N y 89° 31’ O) de las áreas de investigación y producción del Instituto Tecnológico de Conkal. Secciones de 0.5 cm se desinfectaron con hipoclorito de sodio al 2 %, por 30 s, se lavaron dos veces con agua destilada estéril, se sembraron en cajas Petri con medio de cultivo agar papa y dextrosa (PDA) (BD Bioxon®) y se incubaron a 28 °C por 72 h, luego se purificaron. Una identificación preliminar de los patógenos se hizo mediante sus caracteres morfotaxonómicos (Nelson et al., 1983; Barnett y Hunter, 1999).
Para confirmar la identificación específica de los hongos se hicieron extracciones de ADN (Liu et al., 2002) de micelio de cultivos monospóricos. Para esto se analizó la región ITS1-5.8sITS2 del rDNA; los iniciadores fueron los reportados por White et al. (1990), ITS1 (5’-TCCGTAGGTGAACCTGCGG-3’) e ITS4 (5’-TCCTCCGCTTATTGATATGC-3’), la amplificación se realizó por PCR (reacción en cadena de la polimerasa), que incluyó desnaturalización inicial por 2 min a 95 °C, luego 30 ciclos de desnaturalización a 94 °C por 1 min, alineación a 54 °C por 30 s y una extensión de 1 min 72 °C, y una extensión final de 5 min a 72 °C. Los productos amplificados se visualizaron por electroforesis en gel de agarosa al 1 % (SIGMA®, EE.UU.) y un marcador de peso molecular de 1 kb (Invitrogen® EE.UU.). Los productos de PCR amplificados los secuenciaron en Macrogen (www.macrogenusa.com). Las secuencias se compararon con la base de datos del Banco de Genes del Nacional Center For Biotechnology Information (http://blast.ncbi.nlm.gov) con el programa Basic Local Alignment Search Tool (BLAST).
Antagonismo de aislados bacterianos contra Fusarium spp.
Los bioensayos se hicieron en cajas Petri con medio PDA; en el centro de la caja se colocaron secciones de 0.5 cm de diámetro del micelio del fitopatógeno y 6 mL de una suspensión de 1x107 UFC de los aislados bacterianos, obtenida por raspado con un portaobjeto estéril, de un cultivo bacteriano en AN de 5 d de incubación. La suspensión se aplicó en cuatro puntos equidistantes alrededor del hongo y a 2 cm de distancia. El testigo fue cajas Petri con el hongo patógeno sin las cepas bacterianas. Las cajas se incubaron a 28 °C. Después de 7 d se determinó el porcentaje de inhibición del crecimiento micelial (ICR) con la fórmula propuesta por Ezziyyani et al. (2004) y se midió el halo de inhibición, entre la colonia fúngica y las cepas bacterianas. La inhibición de conidios se determinó con la selección de los aislados que presentaron un porcentaje de ICR de al menos 65 % y mostraron halo de inhibición mayor a 3.0 mm al menos contra una de las cepas fúngica.
Inhibición de germinación de conidios por filtrados bacterianos
Los aislados bacterianos se cultivaron en matraces Erlenmeyer de 250 mL, con 100 mL de medio líquido Luria-Bertani® (LB) (DIBICO®, México), y adicionó 1 mL de suspensión bacteriana de 1x107 UFC. Los matraces con la suspensión de células bacterianas se mantuvieron en agitación orbital (MaxQ4450, Thermo Scientific, EE.UU.) a 200 rpm, por 72 h a 29 °C. El sobrenadante se recuperó por centrifugación a 8765 x g, por 10 min, se filtró con filtros tamaño de poro 0.45 mm (Merck® Millipore, Alemania) y se obtuvo el filtrado libre de bacterias. Una suspensión de 1x108 conidios mL-1 de Fusarium spp. se mezcló con el filtrado bacteriano (1:1 v/v). La mezcla se sembró en cajas Petri con PDA, a cada punto de siembra se colocó un cubreobjetos y se registró la cantidad de conidios germinados después de 3, 5, 8 y 10 h con un microscopio óptico DM500 (Leica Microsystems, Suiza) y objetivo de 100X; los valores se transformaron a porcentaje. Esta cuantificación se suspendió cuando en 100 conidios, al azar del testigo sin filtrado, el tubo germinativo se extendió más de la mitad de la longitud del tamaño de la célula fúngica (Mahadtanapuk et al., 2007, Ruiz-Sánchez et al., 2014).
Identificación de los aislados bacterianos antagonistas
Los aislados seleccionados para los ensayos de inhibición de la germinación que tuvieran identificación molecular previa se identificaron. Esto se hizo con el análisis de la secuencia del gen 16S rDNA, y los iniciadores Eubac27F y Eubac1492R (Delong, 1992). Para extraer el DNA se utilizó el kit Wizard Genomic DNA Purification (Promega®, EE.UU.). Las condiciones de reacción incluyeron solución amortiguadora 1X de PCR, 1.5 mM de MgCl2, 0.2 mM de mezcla de dNTPs, 1.0 mM de cada oligonucleótido, 2.0 U de Taq DNA polimerasa (Invitrogen® EE.UU.) y 1 mL de DNA a 200ng, a un volumen final de 50mL de mezcla de reacción. La amplificación por PCR (en un termociclador TECHNE-312, EE.UU.) incluyó desnaturalización inicial a 94 °C por 3 min, seguida por 32 ciclos (desnaturalización 94 °C por 1 min, alineación 52 °C por 1 min y una extensión 72 °C por 1.45 min), extensión final a 72 °C por 7 min y temperatura final de 4 °C. Los productos amplificados y las secuencias tuvieron el mismo procedimiento realizado con los hongos.
Detección de genes en bacterias aisladas para la producción de lipopéptidos
Los aislados bacterianos, para detectar genes que codifican la producción de lipopéptidos, fueron los mismos evaluados en la inhibición de la germinación de conidios por filtrados bacterianos, ya que éstos se consideraron candidatos que podrían producir metabolitos secundarios con actividad antifúngica (Athukorala et al., 2009). Para detectar genes bamC (bacilomicina D), fenD (fengicina), ituA (iturina A), zmaR (zwittermicina A) y sfp (surfactina) se utilizaron los pares de oligonucleótidos reportados por Ramarathnam et al. (2007) y Athukorala et al. (2009) BACC1 F (GAAGGACACGGCAGAGAGTC) y BACC1 R (CGCTGATGACTGTTCATGCT); FEND1 F (TTTGGCAGCAGGAGAAGTTT) y FEND1 R (GCTGTCCGTTCTGCTTTTTC); ITUD1 F (GATGCGATCTCCTTGGATGT) y ITUD1 R (ATCGTCATGTGCTGCTTGAG); ZWITR2 F (TTGGGAGAATATACAGCTCT) y ZWITR2 R (GACCTTTTGAAATGGGCGTA) y SUR3 F (ACAGTATGGAGGCATGGTC) SUR3 R (TTCCGCCACTTTTTCAGTTT) (Invitrogen®, EE.UU.) El programa PCR para BACC1 F/R fue una desnaturalización a 94 °C por 3 min, 35 ciclos de desnaturalización a 94 °C por 1 min, alineamiento a 60 °C por 30 s, extensión a 72 °C por 1.45 min y extensión final a 72 °C por 6 min (Ramarathnam et al., 2007); para ITUD1F/R y SUR3 F/R fue desnaturalización a 94 °C por 15 min, 30 ciclos de desnaturalización a 94 °C por 30 s, alineamiento a 60 °C por 30 s, extensión a 72 °C por 2 min y extensión final a 72 °C por 10 min (Stanković et al., 2012); para FEND1 F/R fue una desnaturalización a 94 °C por 3 min, 45 ciclos de desnaturalización a 94 °C por 1 min, alineamiento a 62 °C por 1 min, extensión a 72 °C por 1.45 min y extensión final a 72 °C por 6 min (Ramarathnam et al., 2007) y para la ZWTR2 F/R fue desnaturalización a 94 °C por 3 min, seguida de 30 ciclos de desnaturalización a 94 °C por 15 s, alineamiento a 60 °C por 45 s, extensión a 72 °C por 2 min y extensión final a 72 °C por 4 min (Basurto et al., 2012).
Análisis de datos
En diseño experimental fue completamente al azar, y los tratamientos tuvieron cuatro repeticiones. Con los datos se realizó ANDEVA, con transformación previa de datos de los porcentaje en arcoseno [y=arcoseno (sqrt x/100)], y las medias se compararon con la prueba de Tukey (p≤0.05), con el paquete estadístico SAS Ver. 9.1 (SAS Institute Inc. 2010).
Resultados y Dscusión
Aislamiento e identificación de las cepas fúngicas
Dos especies de Fusarium se aislaron de plantas de Capsicum chinense Jacq. con síntomas de necrosis en el tallo y las raíces. Uno se identificó como F. equiseti con registro ITCF1, que presentó micelio abundante, aéreo algodonoso, blanco, con crecimiento rápido y color anaranjado en su cara inferior. El estudio microscópico reveló la presencia de macroconidios abundantes con células apicales atenuadas, de uno a cuatro células, microconidios en presencia generalmente menor de células simples, ovales o reniformes, producidas en cabezas falsas. El otro aislado fue identificado como F. solani con registro ITCF2, y micelio aéreo escaso, crecimiento relativamente más lento, y color crema en ambos lados. El estudio microscópico reveló la presencia de macroconidios cilíndricos escasos, célula basal y apical redonda simple o de una célula; microconidios abundantes, generalmente de células simples, cilíndricas y en algunos casos célula apical atenuada y célula basal con forma de pie (Nelson et al., 1983; Escalona et al., 2006). El análisis de la región ITS1-5.8s-ITS2 del rDNA confirmó similitud de 100 % de la cepa ITCF1 con F. equiseti (Gen Bank JQ690081) y en el caso de ITCF2 la similitud fue de 99 % con F. solani (JQ910159). Estos fitopatógenos son importantes por las pérdidas que causan en la producción de cultivos, como C. annuum (Martínez et al., 2011; Sanzón-Gómez et al., 2012), trigo (Triticum aestivum L.), soya (Glicine max L.) y chícharo (Pisum sativum L.) (Ivić et al., 2009; Espinoza et al., 2011), maíz (Zea mays L.) (Zainudin et al., 2011), tomate (Solanum lycopersicum L.) y calabaza (Cucurbita pepo L.) (Montano et al., 2012; Roberti et al., 2012).
Actividad antagónica de aislados bacterianos contra F. equiseti y F. solani
ICR de Fusarium spp. El análisis de varianza para la variable ICR mostró diferencias significativas entre los 16 aislados bacterianos (p≤0.05). Los intervalos de ICR en ambas especies de Fusarium fueron 2.15 a 71.55 %. En F. equiseti ITCF1 los aislados bacterianos con registro CBRF8, CBCK41, CBMT51 y CBRM17 fueron los que indujeron los promedios mayores en el porcentaje de ICR, con 65.70, 66.15, 71.23 y 71.55 % (p≤0.05). En F. solani ITCF2 los aislados CBRF15, CBRF9 y CBRF8 en promedio superaron a los otros aislados bacterianos (p≤0.05), ya que causaron ICR de 61.60, 62.67 y 69.16 % (Cuadro 1). La actividad antifúngica de los aislados bacterianos se evidenció en Fusarium sp. cuando se confrontó con B. subtilis LSB4 y Bacillus sp. LSB9, pues demostraron inhibición de crecimiento micelial de 90 y 90.4 % (Badía et al., 2011). Las inhibiciones en esos estudios superaron nuestros resultados. Pero, en otros casos la efectividad con F. oxysporum fue similar a los estimados para los aislados CBRF8, CBRM17 y CBMT51 (Li et al., 2012b) o menos efectivos, aunque se trató de especies similares o diferentes del hongo (Romano et al., 2013; Sarti y Miyazaki, 2013), e incluso cuando se evaluó en otras cepas de Fusarium. La respuesta de antagonismo está asociado con la síntesis de lipopéptidos como iturina, surfactina, fengicina y bacilomina (Ramarathnam et al., 2007; Mora et al., 2011; Berić et al., 2012) y metabolitos secundarios que pueden generar una zona de lisis interna y engrosamiento del borde en la zona de inhibición. Este efecto se observó en F. equiseti y en F. solani, y también afectaron el crecimiento radial de los hongos, como ocurrió contra Curvularia lunata (Basha y Ulaganathan, 2002; Orberá et al., 2009).
Cuadro 1 Inhibición de crecimiento y halos de inhibición por acción de aislados bacterianos contra cepas de Fusarium equiseti y F. solani.
| Aislados | F. equiseti ITCF1 | F. solani ITCF2 | ||||
| ICR (%) | Halos (mm) | ICR (%) | Halos (mm) | |||
| CBRF8 | 65.70 ± 3.65 ab | 0.00 ± 0.0 e | 69.16 ± 1.77 a | 0.00 ± 0.0 b | ||
| CBRF9 | 54.85 ± 2.84 hijk | 0.00 ± 0.0 e | 62.67 ± 6.07 ab | 0.00 ± 0.0 b | ||
| CBRF12 | 60.54 ± 2.59 gh | 0.00 ± 0.0 e | 58.73 ± 0.60 bcde | 0.00 ± 0.0 b | ||
| CBRF15 | 58.24 ± 1.82 hi | 1.49 ± 0.17 d | 61.60 ± 1.57 bc | 1.30 ± 0.21 a | ||
| CBRF24 | 57.75 ± 4.72 hi | 1.02 ± 0.72 d | 58.25 ± 2.44 bcdef | 0.00 ± 0.0 b | ||
| CBRM17 | 71.55 ± 0.71 a | 5.72 ± 0.32 a | 52.74 ± 2.45 defg | 0.00 ± 0.0 b | ||
| CBMT2 | 64.26 ± 2.00 bc | 3.52 ± 0.51 b | 52.60 ± 1.82 efg | 0.00 ± 0.0 b | ||
| CBMT51 | 71.23 ± 1.18 a | 6.10 ± 0.67 a | 55.02 ± 4.42 cdef | 0.00 ± 0.0 b | ||
| CBCC2 | 48.76 ± 3.66 g | 0.00 ± 0.0 e | 53.66 ± 2.16 defg | 0.00 ± 0.0 b | ||
| CBDG60 | 60.71 ± 1.35 bcd | 0.00 ± 0.0 e | 59.58 ± 1.24 bcd | 0.00 ± 0.0 b | ||
| CBSN67 | 53.35 ± 1.90 efg | 0.00 ± 0.0 e | 55.45 ± 2.85 cdef | 0.00 ± 0.0 b | ||
| CBMN22 | 50.60 ± 4.30 fg | 0.00 ± 0.0 e | 51.58 ± 1.26 fg | 0.00 ± 0.0 b | ||
| CBCK36 | 51.14 ± 1.14 fg | 0.00 ± 0.0 e | 47.81 ± 1.63 g | 0.00 ± 0.0 b | ||
| CBCK41 | 66.15 ± 0.88 ab | 2.39 ± 0.37 c | 20.19 ± 3.43 h | 0.00 ± 0.0 b | ||
| CBCK46 | 57.00 ± 3.29 def | 0.00 ± 0.0 e | 3.76 ± 2.71 i | 0.00 ± 0.0 b | ||
| CBCK47 | 2.15 ± 0.77 h | 0.00 ± 0.0 e | 57.24 ± 3.01 bcdef | 0.00 ± 0.0 b | ||
| Testigo | 0.00 ± 0.0 h | 0.00 ± 0.0 e | 0.00 ± 0.0 i | 0.00 ± 0.0 b | ||
| DMS | 6.55 | 0.76 | 6.96 | 0.12 | ||
Medias con letra distinta son estadísticamente diferentes (p≤0.05). ICR: inhibición de crecimiento radial; DMS: Diferencia mínima significativa.
Presencia y tamaño de halo de inhibición
El análisis de varianza de los halos de inhibición mostró diferencias significativas entre los 16 aislados bacterianos (p≤0.05). Los halos generados en ambas especies de Fusarium fueron de 1.30 a 6.10 mm. En F. equiseti ITCF1 los aislados CBRM17 y CBMT51 fueron diferentes al resto de los aislados (p≤0.05), porque generaron los halos mayores de inhibición (5.72 y 6.10 mm). En F. solani ITCF2 sólo el aislado CBRF15 generó un halo de inhibición de 1.30 mm, pero no fue la bacteria con inhibición mayor del crecimiento micelial (Cuadro 1). La formación de halos de inhibición en aislados bacterianos se ha evidenciado en confrontaciones directas con B. cereus X16 contra F. roseum (Sadfi et al., 2002). Los halos de inhibición de crecimiento por acción de los aislados CBRM17 y CBMT51 en F. equiseti mostraron apariencia blanquecina, con delimitación cuadrangular del hongo. Esta actividad también se observó en Colletotrichum gloesporioides, por acción de B. subtilis y B. licheniformis (Gutiérrez-Alonso et al., 2003). La zonas delimitadas por los aislados frente a los hongos se deben a la producción de metabolitos antifúngicos, difusibles en el medio de cultivo (Sadfi et al., 2002). Estos metabolitos antifúngicos podrían ser lipopéptidos cíclicos, como surfactina, iturina A y fengicina, que actúan como agentes de biocontrol contra Fusarium (Arguelles-Arias et al., 2009).
Inhibición en la germinación de conidios por filtrados bacterianos
Los aislados CBRM17, CBMT2 y CBMT51 cumplieron con los criterios establecidos para este experimento y los promedios de halo de inhibición en F. equiseti fueron superiores a 3.0 mm. Pero el aislado CBRF8 se determinó por su actividad ICR en ambas especies fitopatógenas. Los filtrados bacterianos inhibieron 42.25 a 100 % la germinación de conidios de F. equiseti, y en F. solani los promedios fueron 12.75 a 100 % (Cuadro 2). El filtrado con capacidad antifúngica mayor fue del aislado CBRF8, pues inhibió 100 % la germinación de conidios de ambas especies de hongo (Figura 1). La efectividad de 100 %, también se observó en Colletotrichum musae, expuesto a filtrados de B. licheniformis, B. amyloliquefaciens y B. subtilis; aunque en su caso se formaron hinchamientos y distorsiones en conidios y en tubos germinativos del hongo. La actividad similar no se observó en ese estudio (Mahadtanapuk et al., 2007). Los filtrados del aislado CBRF8 son candidatos para controlar la actividad antifúngica, al superar en 40 % la efectividad de filtrados de B. subtilis aplicados en conidios de Aspergillus flavus (Zhang et al., 2010), y 63 % a los provenientes de Bacillus sp. en conidios de C. gloesporioides (Gutiérrez-Alonso et al., 2003). El aislado bacteriano CBRF8 no mostró formación de halos de inhibición en las cepas fúngicas evaluadas, pero la capacidad antifúngica de su filtrado puede asociarse con la producción de proteínas con actividad enzimática o de toxinas que en conjunto causan cambios estructurales somáticos de los hongos y en la viabilidad de los conidios (Basurto-Cadena et al., 2010). Estos pueden afectar el crecimiento total de los hongos o solo causar cambios morfológicos en el micelio o en sus estructuras de resistencia y reproducción (Carissimi et al., 2009).
Cuadro 2 Inhibición de germinación de conidios (%) de Fusarium equiseti y F. solani por filtrados bacterianos a 10 h de exposición.
| Aislados | F. equiseti ITCF1 | F. solani ITCF2 |
| CBRF8 | 100 ± 0.0 a† | 100 ± 0.0 a |
| CBRM17 | 69.50 ± 5.80 b | 3.50 ± 1.00 d |
| CBMT2 | 49.25 ± 5.62 c | 12.75 ± 2.06 c |
| CBMT51 | 42.25 ± 9.03 c | 15.50 ± 0.58 b |
| Testigo | 0.00 ± 0.0 d | 0.00 ± 0.0 e |
| DMS | 11.83 | 2.30 |
†Medias con letra distinta son estadísticamente diferentes (p≤0.05). DMS: Diferencia mínima significativa.
Identificación de dos aislados bacterianos antagonistas
Los aislados CBMT2 y CBMT51 fueron identificadas como B. subtilis (Ruiz et al., 2016); por lo que en nuestro estudio se analizaron los aislados CBRF8 y CBRM17 con base en la secuencia del gen 16s rDNA. El producto amplificado por PCR mostró aproximadamente 1500 pb, y similitud de 94 y 99 % con del aislado CBRF8 con Bacillus subtilis (GQ214132.1) y CBRM17 con Paenibacillus sp. (KJ948328.1). Aunque estos aislados son de géneros diferentes, pertenecen a la misma clase Bacilli. Existe diversidad de especies de Bacillus antagonistas documentadas y a B. subtilis se le han reconocido más propiedades antifúngicas contra Fusarium (GuillénCruz et al., 2006; Badía et al., 2011; Li et al., 2012a). También Paenibacillus polymyxa, P. peoriae, P. brasilensis, P. alginolyticus y P. favisporus muestran actividad antifúngica contra F. oxysporum (Li et al., 2012b; Sato et al., 2014).
Detección de genes que codifican la biosíntesis de lipopéptidos antifúngicos
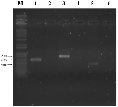
Solo en el aislado bacteriano CBRF8 se observaron productos de amplificación específicos, con el tamaño esperado para los fragmentos de los genes bamC, ituA y sfp con 875, 675 y 500 pb, respectivamente (Ramarathnam et al., 2007; Berić et al., 2012; Stanković et al., 2012) (Figura 2). En los aislados CMBR17, CBMT2 y CBMT51 no hubo detección de esos fragmentos. Los genes detectados en el aislado CBRF8 codificaron la producción de bacilomicina D, iturina A y surfactina. La presencia de más de un gen de la síntesis de lipopéptidos, en el aislado CBRF8 de B. subtilis, es una característica de los aislados de este género, en los que se han obtenido 167 aislados que tienen el gen de la bacilomicina D, 111 el gen de la surfactina y 79 el gen de la iturina (Stanković et al., 2012). En especies iguales y diferentes se ha detectado la presencias de genes de la bacilomicina, como en B. cereus DFE4, B. amyloliquefaciens DEF16 y BS6 y B. subtilis 49, el gen de la fengicina en B. subtilis DFH08 y 49; aunque no hubo amplificación para este gen, su síntesis está asociada a la inhibición de 60 % del crecimiento de F. graminearum y Sclerotinia sclerotiorum (Ramarathnam et al., 2007). Ésta especie presenta genes como la iturina C y D y la bacilomicina C y AB, relacionados con la inhibición de crecimiento radial, halos de inhibición e inhibición de germinación de conidios en F. oxysporum y F. solani (Chung et al., 2008). Estos mecanismos de síntesis de genes de lipopéptidos, con metabolitos diversos antifúngicos o compuestos de naturaleza peptídica y lipopeptídica, como las iturinas, surfactinas y fengicinas, pueden intervenir con la actividad antifúngica de B. subtilis contra fitopatógenos con origen en el suelo (Cazorla et al., 2007).

Figura 2 Amplificación por PCR de los fragmentos de los genes de biosíntesis de lipopéptidos del aislado CBRF8, con los oligonucleótidos específicos. Carril M, Marcador de peso molecular (1 kb DNA Ladder; Invitrogen®); carril 1, ITUD1; carril 2, FEND1; carril 3, BACC1; carril 4, ZWITR2; carril 5, SUR3 y carril 6, control negativo.
Conclusiones
Las especies de Fusarium equiseti y F. solani fueron los agentes causales de la marchitez en C. chinense. En la inhibición del crecimiento micelial de los hongos, el mejor antagonismo in vitro contra F. equiseti lo ejercieron los aislados Paenibacillus sp. CBRM17, B. subtilis CBMT51 y CBRF8, con 71.55, 71.23 y 65.70 %. Contra F. solani, el antagonismo mayor se estimó con los aislados B. subtilis CBRF8 y Bacillus sp. CBRF9 con 69.16 y 62.67 %. Solo el aislado de B. subtilis CBRF8 causó 100 % de inhibición de la germinación de conidios. La presencia de genes que codifican la síntesis de lipopéptidos se detectó solo con el aislado B. subtilis CBRF8, que presentó actividad con los genes, bamC, ituA y sfp; responsables de la síntesis de bacilomicina D, iturina A y surfactina, respectivamente.









texto en 



